ΑΡΧΙΚΗ
ΤΟ ΙΑΤΡΕΙΟ
ΒΙΟΓΡΑΦΙΚΟ
ΦΙΛΟΣΟΦΙΑ
ΠΕΡΙΣΤΑΤΙΚΑ
ΑΙΣΘΗΤΙΚΕΣ ΑΠΟΚΑΤΑΣΤΑΣΕΙΣ
ΑΙΣΘΗΤΙΚΕΣ ΑΠΟΚΑΤΑΣΤΑΣΕΙΣ ΜΕ ΡΗΤΙΝΕΣ
ΑΝΤΙΚΑΤΑΣΤΑΣΗ ΚΑΚΟΤΕΧΝΗΣ ΣΤΕΦΑΝΗΣ ΣΤΗΝ ΠΡΟΣΘΙΑ ΖΩΝΗ
ΑΟΡΑΤΗ ΟΡΘΟΔΟΝΤΙΚΗ
ΕΜΦΥΤΕΥΜΑΤΑ ΣΤΗΝ ΑΙΣΘΗΤΙΚΗ ΖΩΝΗ
ΕΦΑΡΜΟΓΗ ΥΑΛΟΥΡΟΝΙΚΟΥ ΟΞΕΟΣ ΓΙΑ ΔΙΟΡΘΩΣΗ ΡΥΤΙΔΩΝ
ΛΕΥΚΑΝΣΕΙΣ
ΟΨΕΙΣ ΡΗΤΙΝΗΣ ΣΤΑ ΠΡΟΣΘΙΑ ΔΟΝΤΙΑ
ΤΟΠΟΘΕΤΗΣΗ ΕΜΦΥΤΕΥΜΑΤΩΝ
ΕΠΙΚΟΙΝΩΝΙΑ
Επικοινωνήστε για Ραντεβού
ΚΛΙΝΙΚΑ ΠΕΡΙΣΤΑΤΙΚΑ
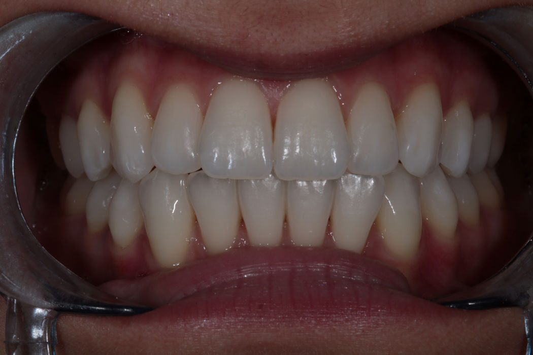
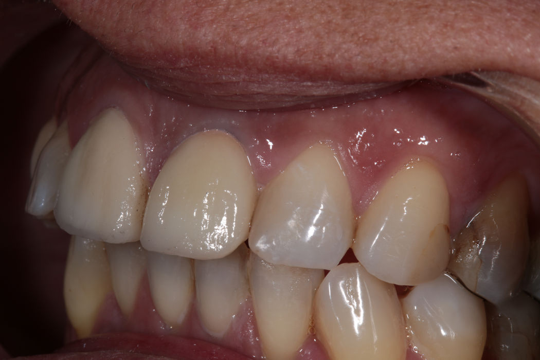
Αισθητικές Αποκαταστάσεις
Αόρατη Ορθοδοντική
Λευκάνσεις
Αισθητικές αποκαταστάσεις με ρητίνες
Εμφυτεύματα στην αισθητική ζώνη
Όψεις ρητίνης στα πρόσθια δόντια
Αντικατάσταση κακότεχνης στεφάνης στην πρόσθια ζώνη
Εφαρμογή υαλουρονικού οξέος για διόρθωση ρυτίδων
Τοποθέτηση εμφυτευμάτων
ΑΡΧΙΚΗ
ΤΟ ΙΑΤΡΕΙΟ
ΒΙΟΓΡΑΦΙΚΟ
ΦΙΛΟΣΟΦΙΑ
ΠΕΡΙΣΤΑΤΙΚΑ
ΑΙΣΘΗΤΙΚΕΣ ΑΠΟΚΑΤΑΣΤΑΣΕΙΣ
ΑΙΣΘΗΤΙΚΕΣ ΑΠΟΚΑΤΑΣΤΑΣΕΙΣ ΜΕ ΡΗΤΙΝΕΣ
ΑΝΤΙΚΑΤΑΣΤΑΣΗ ΚΑΚΟΤΕΧΝΗΣ ΣΤΕΦΑΝΗΣ ΣΤΗΝ ΠΡΟΣΘΙΑ ΖΩΝΗ
ΑΟΡΑΤΗ ΟΡΘΟΔΟΝΤΙΚΗ
ΕΜΦΥΤΕΥΜΑΤΑ ΣΤΗΝ ΑΙΣΘΗΤΙΚΗ ΖΩΝΗ
ΕΦΑΡΜΟΓΗ ΥΑΛΟΥΡΟΝΙΚΟΥ ΟΞΕΟΣ ΓΙΑ ΔΙΟΡΘΩΣΗ ΡΥΤΙΔΩΝ
ΛΕΥΚΑΝΣΕΙΣ
ΟΨΕΙΣ ΡΗΤΙΝΗΣ ΣΤΑ ΠΡΟΣΘΙΑ ΔΟΝΤΙΑ
ΤΟΠΟΘΕΤΗΣΗ ΕΜΦΥΤΕΥΜΑΤΩΝ
ΕΠΙΚΟΙΝΩΝΙΑ